Interaktywny Atlas Histologiczny
15 04 2025
Studenci oraz pracownicy Wydziału Medycznego UW mogą korzystać z aplikacji o nazwie „Interaktywny Atlas Histologiczny”. Na platformie jest dostępnych ponad pięć tysięcy zdjęć i materiałów video prezentujących mikroskopowe obrazy struktur komórkowych, tkankowych i narządowych.
Interaktywny Atlas Histologiczny jest aplikacją internetową oferującą wysokiej jakości obrazy mikroskopowe dla studentów, nauczycieli i profesjonalistów z dziedziny medycyny i nauk pokrewnych.
Platforma jest wdrażana do praktyki edukacyjnej od 2023 roku i stanowi cyfrowe repozytorium zawierające 5 301 wysokiej jakości zdjęć mikroskopowych oraz 31 filmów przedstawiających unikatowe struktury komórkowe, tkankowe i narządowe podzielone na następujące zakresy tematyczne:
- biologia komórki,
- histologia tkanek,
- histologia narządów,
- embriologia.
Opisy zasobów znajdujących się w aplikacji są dostępne w dwóch wersjach językowych: polskiej i angielskiej.
Kolekcja atlasu jest stale poszerzana o nowe zdjęcia mikroskopowe.
| Dostęp do Interaktywnego Atlasu Histologicznego znajduje się pod linkiem: |
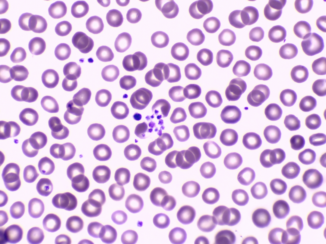
- Erytrocyty i płytki krwi, rozmaz
- Róg przedni (piersiowy) z ciałami dużych neuronów motorowych w rdzeniu kręgowym
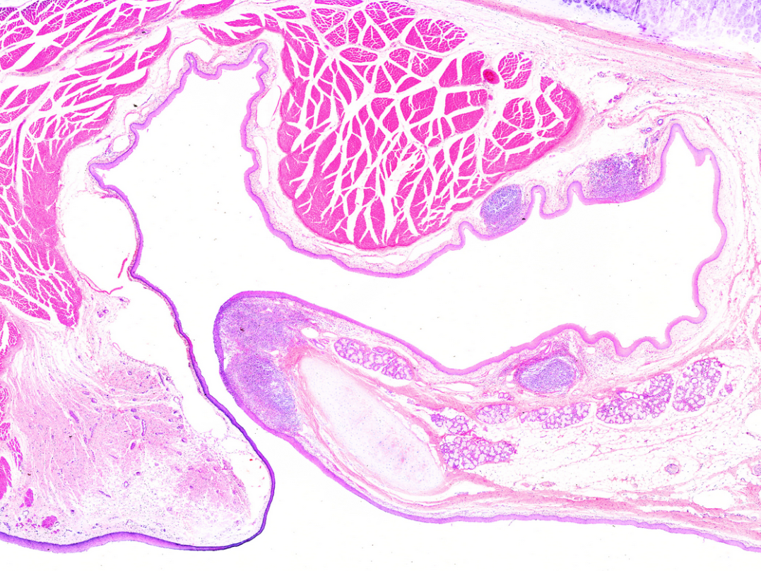
- Krtań
- F-aktyna (ludzkie pierwotne komórki śródbłonka tętnicy wieńcowej)
Na zdjęciu głównym: Nerw wzrokowy, opona miękka i opona twarda.
Źródło zdjęć: https://www.atlashistologiczny.pl



